Home
Contact
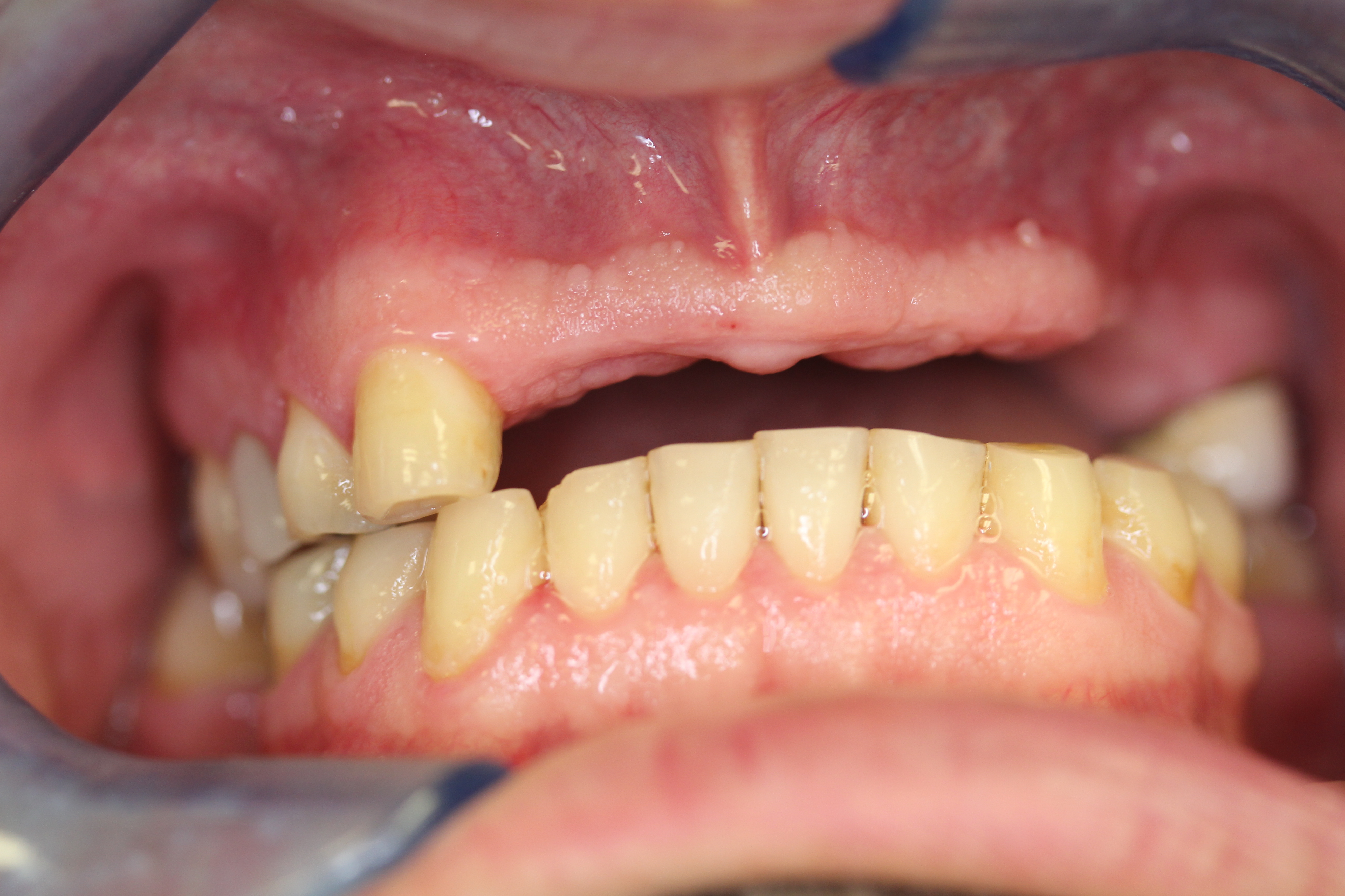
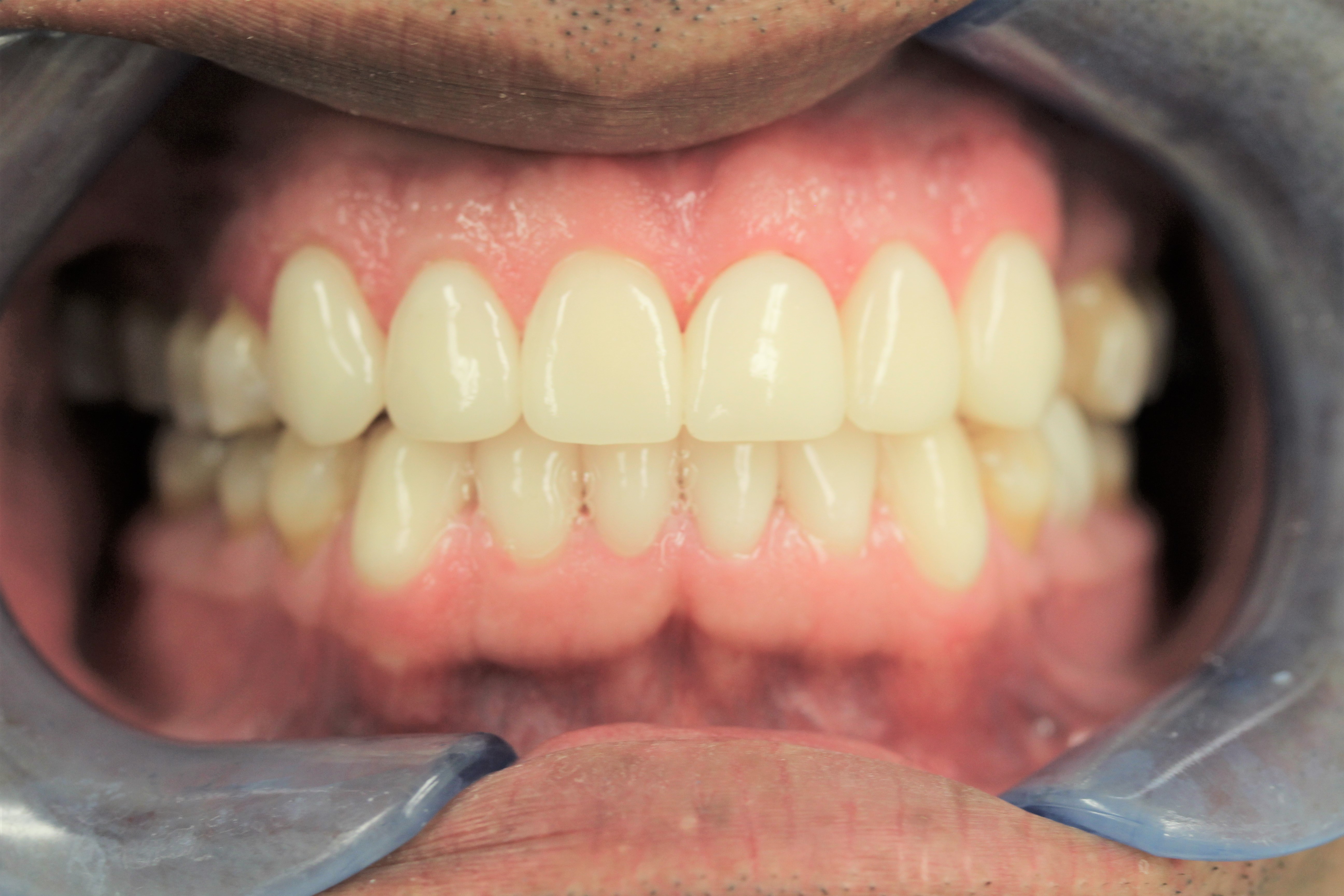
Esthetic Dentistry Cases
Before and After
Before and After
Before and After
Contact Us
(203)-637-4660